बिहार IIIT के छात्रों का कमाल बनाया ऐसा सॉफ्टवेयर, सिर्फ 2 सेकेंड में बताएगा पेशेंट कोरोना पॉजिटिव या निगेटिव
By संदीप दाहिमा | Updated: May 6, 2021 16:56 IST2021-05-06T16:56:31+5:302021-05-06T16:56:31+5:30

देश में कोरोना के मरीजों के आंकड़े रिकॉर्ड संख्या तक पहुंच रहे हैं। मरीजों की संख्या 2 करोड़ का आंकड़ा पार कर गई है। जैसे ही कोरोना से उबरने वाले मरीजों की संख्या बढ़ती है, चौंकाने वाले आंकड़े एक बार फिर सामने आ रहे हैं।

रोगियों की संख्या में तेजी से वृद्धि चिंता को बढ़ा रही है। पिछले 24 घंटों में रोगियों की संख्या में वृद्धि हुई है। देश में रोगियों की संख्या पिछले कुछ महीनों के उच्चतम स्तर पर पहुंच गई है।

केंद्रीय स्वास्थ्य मंत्रालय के अनुसार गुरुवार (6 मई) को 24 घंटों में देश में कोरोना के 4,12,262 नए मामलों का पता चला। परिणामस्वरूप, देश में कोरोनरी हृदय रोग के रोगियों की संख्या 2,10,77,410 तक पहुंच गई। कोरोना से मरने वालों की संख्या बढ़कर 23,01,68 हो गई है।

कोरोना संक्रमण की रोकथाम के लिए मास्क, सामाजिक दूरी और होम क्वारंटाइन का सहारा लिया जा रहा है। साथ ही दुनिया भर में कोरोना पर शोध चल रहा है और हर दिन नई जानकारी सामने आ रही है।

कोरोना को हराने के लिए सभी स्तरों पर प्रयास किए जा रहे हैं। डॉक्टर्स, फ्रंटलाइन वर्कर्स अपनी पूरी ताकत से इससे लड़ रहे हैं। कोरोना को हराने में सबसे महत्वपूर्ण भूमिका परीक्षण की है।

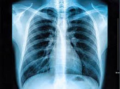
अभी कोरोना का परीक्षण करना महत्वपूर्ण है। प्रारंभिक परीक्षण करना वास्तव में चुनौतीपूर्ण है। लेकिन इस बीच, बिहार में आईआईआईटी के छात्रों ने अपना सर्वश्रेष्ठ प्रदर्शन किया। अनोखा सॉफ्टवेयर बनाया।

छात्रों द्वारा बनाए गए सॉफ़्टवेयर के माध्यम से एक कोरोना है या नहीं, यह केवल कुछ मिनटों में समझा जाएगा। इस सॉफ्टवेयर की मदद से मरीज का छाती का एक्सरे लिया जाता है। सीटी स्कैन किया जाता है।

एक्स-रे और सीटी स्कैन रिपोर्ट दोनों बताते हैं कि कुछ ही सेकंड में किसी व्यक्ति का कोरोना सकारात्मक या नकारात्मक है। सॉफ्टवेयर सिर्फ कोरोना नहीं बल्कि टीबी, वायरल और बैक्टीरियल निमोनिया के साथ आम मरीजों की एक्स-रे प्लेटों की जानकारी देता है।

इस आविष्कार को पहचानने के लिए एक प्रक्रिया चल रही है। ICMR ने इसके लिए एक सलाहकार समिति का गठन किया है। पटना एम्स में इस सॉफ्टवेयर का परीक्षण शुरू कर दिया गया है।

एम्स में अगले 2 से 3 दिनों में कोरोना मरीजों की एक्स-रे और सीटी स्कैन छवियों की जांच कोरोना के सॉफ्टवेयर द्वारा की जा रही है। इसके बाद, सलाहकार समिति रोगियों की नकारात्मक या सकारात्मक रिपोर्ट का अध्ययन करेगी।

रिपोर्ट आईसीएमआर को भेजी जाएगी। अगले हफ्ते तक इसकी वैधता पर फैसला होने की उम्मीद है। एक हिंदी वेबसाइट ने इस बारे में बताया है।

देश में सक्रिय रोगियों की कुल संख्या 35,66,398 है। कोरोना के कारण अब तक 20 लाख लोग अपनी जान गंवा चुके हैं। इस संकट में 1,72,80,844 लोगों ने कोरोना को हराया और इस लड़ाई को जीता।

केंद्र सरकार के मुख्य चिकित्सा सलाहकार ने कोरोना की एक तीसरी लहर को लेकर चेतावनी दी है। दिल्ली में आयोजित एक संवाददाता सम्मेलन में, उन्होंने देश में कोरोना की वर्तमान स्थिति और भविष्य की स्थिति के बारे में जानकारी दी।

केंद्र सरकार के मुख्य वैज्ञानिक सलाहकार के। विजय राघवन ने नई दिल्ली में एक संवाददाता सम्मेलन में कोरोना स्थिति पर टिप्पणी की है। कहा जाता है कि भारत में कोरोना की एक तीसरी लहर अपरिहार्य है।

राघवन ने कहा, "वर्तमान महामारी और कोरोना के तेजी से प्रसार को देखते हुए, यह होने जा रहा है। लेकिन यह कहना मुश्किल है कि यह तीसरी लहर कब और कितनी देर तक चलेगी। हमें इस तीसरी लहर के लिए तैयार रहना चाहिए।"

















