COVID-19 treatment: भारतीय युवा ने बनाया खास सॉफ्टवेयर, सिर्फ 30 सेकंड में बता देगा कोरोना के लक्षण
By उस्मान | Updated: November 27, 2020 10:39 IST2020-11-27T10:39:11+5:302020-11-27T10:39:11+5:30

कोरोना ने दुनिया भर में आतंक मचा रखा है। सभी देश वैक्सीन के आने का इंतजार कर रहे हैं, इससे पहले कोरोना के प्रसार को रोकने के लिए मुख्य चुनौती कोरोना की जांच करना है.

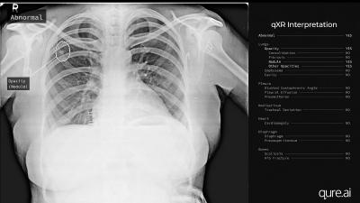
अच्छी खबर यह है कि झारखंड के कोडरमा के एक युवक ने एक आर्टिफिशियल इंटेलिजेंस (एआई) तकनीक का आविष्कार किया है जो सीने के एक्स-रे की मदद से महज 30 सेकंड में कोरोना के लक्षणों का पता लगा सकती है।

यह तकनीक टीबी के लक्षणों का पता लगाने के लिए विकसित की गई थी, लेकिन इसे आगे कोरोना के संदर्भ में विकसित किया गया था। कोडरमा जिले के झुमरीतिलैया में आदि बंगला रोड निवासी अंकित मोदी (28) मुंबई की एक कंपनी के सह-संस्थापक हैं।

अंकित मोदी की कंपनी ने एक आर्टिफिशियल इंटेलिजेंस तकनीक का आविष्कार किया है। केवल एक मिनट में मस्तिष्क के सीटी स्कैन द्वारा रिपोर्ट करने में सक्षम है।

खास बात यह है कि अंकित और उनके सहयोगियों द्वारा विकसित इस सॉफ्टवेयर को रेडियोलॉजिस्ट की आवश्यकता नहीं है। इस सॉफ्टवेयर का उपयोग अमेरिका, इंग्लैंड, फ्रांस, इटली सहित दुनिया के 20 से अधिक देशों में किया जा रहा है।

अंकित के पिता जितेंद्र कुमार अरुण एक व्यवसायी हैं। अंकित और उनके सहयोगियों द्वारा विकसित इस सॉफ्टवेयर की खबर हाल ही में प्रसिद्ध अमेरिकी अखबार न्यूयॉर्क टाइम्स में प्रकाशित हुई थी।

जिन अस्पतालों में एक्स-रे रिपोर्ट आने में दिनों और हफ्तों का समय लगता है, वही रिपोर्ट अब इस सॉफ्टवेयर की मदद से कुछ ही मिनटों में आ रही है। जो डॉक्टर पहले दिन 25 से 30 एक्स-रे देखने में सक्षम थे, अब वे एक दिन में 100 से अधिक देखते हैं.

ऐसे कई मामले पाए गए हैं जिनमें एक्स-रे में भी रोग के सबसे सूक्ष्म लक्षण मौजूद होते हैं जिन्हें आंखों से पकड़ना मुश्किल होता है, डॉक्टर इस तकनीक की मदद से ऐसे मरीजों को आसानी से पहचानने में सक्षम होते हैं।

अंकित मोदी ने कहा कि दूरस्थ गाँवों और गाँवों में रेडियोलॉजिस्ट की कमी को दूर करने में तकनीक बहुत कारगर साबित हुई है जहाँ एक्स-रे की सुविधा है लेकिन रेडियोलॉजिस्ट की कमी है। उनका झारखंड के सिमडेगा में शांतिवन मेडिकल सेंटर में इलाज चल रहा है.

अंकित मोदी ने 2015 में IIT कानपुर से कंप्यूटर साइंस में B.Tech और M.Tech किया है। उन्होंने 2016 में अपने छह सहयोगियों के साथ एक कंपनी स्थापित की, जहाँ उन्होंने एक्स-रे के लिए कृत्रिम बुद्धिमत्ता तकनीक विकसित करने के लिए एक शोध वैज्ञानिक के रूप में काम किया।

















