कब कराएं सीटी स्कैन ? जानें कोरोना कैसे फेफड़ों पर डालता है असर
By संदीप दाहिमा | Updated: May 8, 2021 13:14 IST2021-05-08T13:14:17+5:302021-05-08T13:14:17+5:30

कोरोना वायरस की दूसरी लहर ने देश को हिला दिया है। कोरोना की तीसरी लहर की संभावना को अनुमान लगाया गया है कि कोरोना कब चरम पर होगा और कब खत्म होगा। कोरोना वायरस हवा से फैलता है। यह कोरोना से संक्रमित रोगियों के फेफड़ों पर हमला करता है। इससे रोगी को धीरे-धीरे सांस लेने में कठिनाई होती है।

नई दिल्ली में गंगाराम अस्पताल में फेफड़ों के रोग विभाग के एक वरिष्ठ चिकित्सक बॉबी भालोत्रा विस्तार से बताते हैं कि कोरोना उनके फेफड़ों पर कैसे हमला करता है।

कोरोना वायरस एक वायरल संक्रमण है, डॉ। बॉबी भालोत्रा ने कहा। जो एक मरीज की जान ले सकता है। नियमों और टीकाकरण के बाद ही इसे नियंत्रित किया जा सकता है। केवल इन दो उपायों से इसे रोका जा सकता है। इसलिए सभी को यह समझना जरूरी है।

कोरोना वायरस संक्रमण पहले नाक और फिर गले को संक्रमित करता है। यदि आपकी प्रतिरक्षा इसे नाक और गले तक नहीं रोक सकती है, तो यह फेफड़ों में प्रवेश करती है और किसी तरह निमोनिया का कारण बनती है।

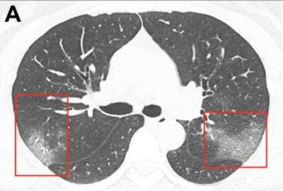
डॉ। बॉबी भालोत्रा ने कहा कि सीटी स्कैन एक जांच है जो आपके फेफड़ों में कोरोना वायरस के प्रभाव को दिखाती है।

कोरोना वायरस फेफड़ों में सफेद धब्बे का कारण बनता है। रोगी के फेफड़ों में निमोनिया के लक्षण देखे जा सकते हैं। ये निशान कुछ में कम और कुछ में ज्यादा देखे जाते हैं।

कुछ रोगियों में, ये धब्बे फेफड़ों पर इस हद तक बढ़ते हैं कि फेफड़ों में वायुमार्ग अवरुद्ध हो जाते हैं। इसलिए, रोगी को अधिक ऑक्सीजन की आवश्यकता होती है। अक्सर मरीजों को वेंटिलेटर पर भी रखना पड़ता है।

इस फोटो में एक्स-रे को अलग तरह से देखा जाता है। जिसमें कोरोना वायरस के घाव पूरी तरह से दिखाई दे रहे हैं। सीटी स्कैन रिपोर्ट दाएं और बाएं ओर के फेफड़े को अलग-अलग वर्गों में विभाजित करती है और कई अंक देती है।

यदि स्कोर पांच है तो इसे हल्का माना जाता है और यदि यह 20 से ऊपर है तो स्थिति गंभीर है। इस प्रकार, कम से कम पांच से सात दिनों के बाद सीटी स्कैन द्वारा कोरोना वायरस का पता लगाया जा सकता है।

आज सबसे बड़ा सवाल यह है कि सीटी स्कैन किसे करना चाहिए और किसे नहीं करना चाहिए? यदि हर कोई सीटी स्कैन के लिए जाता है, तो यह उचित नहीं होगा। क्योंकि सीटी स्कैन लगता है। इसलिए RTPCR महत्वपूर्ण है। कोरोना वायरस की जानकारी के लिए डॉक्टर से सलाह लेने के बाद सीटी स्कैन कराना चाहिए। यदि किसी को फेफड़े के लक्षण हैं या सांस लेने में कठिनाई हो रही है, तो रोगी को डॉक्टर की सलाह पर सीटी स्कैन कराना चाहिए।

















